안녕하세요.
검단가온치과의 대표원장 노경우입니다.

혹시, 이런 경험이 있으신가요?
사진을 찍을 때 웃는 모습이 어색하게 느껴지거나, 거울을 볼 때마다 얼굴이 조금씩 비뚤어져 보인다고 느끼는 경우,
혹은 "왜 나만 이렇게 불균형한 걸까?" 하고 고민하며 스트레스를 받는 경험이요.
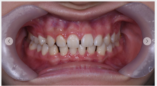
2025년 8월, 저희 치과를 찾은 한 20대 여성 환자분이 계셨습니다.
그분은 이미 다른 병원에서 부정교합 진단을 받으신 상태였습니다.
환자분은 조심스럽게 말씀하셨습니다.
"사실 얼굴이 길어지는 것이 오랫동안 저의 콤플렉스였어요.
그런데 그게 단순한 얼굴형 문제라고 생각했는데, 턱뼈가 발달했다고 들었을 때... 정말 충격이었죠."
부정교합이란, 의학적으로 '위아래 치아가 제대로 맞물리지 않는 상태'를 의미합니다.
하지만 이 진단을 받은 분들에게는 단순한 치아 배열의 문제가 아닙니다.
그것은 마치 '내 얼굴이 비정상이라는 판결'처럼 느껴지곤 합니다.
"웃을 때마다 저도 모르게 입을 가려요."
환자분의 말씀 속에는 오랜 시간 쌓인 자기 검열이 담겨 있었습니다.
환자분은 거울 앞에서 수없이 자신의 얼굴을 관찰하며,
왼쪽 턱이 오른쪽보다 낮고,
한쪽으로만 음식을 씹게 되며,
턱관절이 헐렁하게 느껴진다고 하셨습니다.
그분이 관찰한 것은 치아가 아니라, '왜 나만 이렇게 불완전한가'라는 자신의 모습이었습니다.
오늘은 부정교합으로 고통받던 20대 여성분의 교정 치료 사례를 소개해 드리겠습니다.
이 글이 "부정교합"으로 스트레스를 받으시는 분들께 희망과 용기를 전할 수 있기를 바랍니다.
부정교합은 '치아'의 문제가 아닙니다.
많은 분들이 부정교합을 단순히 '치아가 삐뚤어진 것'으로 생각하십니다.
하지만 실제로는 훨씬 더 복잡한 문제입니다.
부정교합은:
- 얼굴의 균형에 영향을 미칩니다.
- 턱관절에 부담을 줍니다.
- 씹는 기능을 저하합니다.
그리고 무엇보다, '내가 어떻게 보이는가'에 대한 불안을 만들어냅니다.
이 환자분의 경우, 하악골이 상대적으로 발달하여 얼굴이 길어 보이는 골격성 부정교합이었습니다.

이런 경우 단순히 치아만 교정한다고 해서 근본적인 문제가 해결되지 않습니다.
문제는 '뼈'에 있었고, 해결책은 '균형'에 있었습니다.
2025년 8월 6일, 본격적인 치료가 시작되었습니다.
2주라는 시간, 그 안에서 일어난 일
부정교합 치료는 단순히 치아를 움직이는 것이 아닙니다.
틀어진 균형을 다시 맞추는 과정입니다.
환자분의 치료 과정은 이렇게 진행되었습니다:
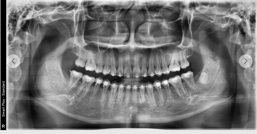
1. 정밀 진단
눈으로 보는 것에 그치지 않고, 엑스레이와 CT를 통해 턱뼈의 위치, 치아의 각도, 턱관절의 상태를 입체적으로 분석했습니다.

2. 교합 분석
어느 치아가 먼저 닿는지, 어느 쪽이 더 강하게 씹히는지, 턱이 어느 방향으로 틀어져 있는지를 정밀하게 측정했습니다.
3. 맞춤 치료 계획
환자분에게 필요한 것은 단순한 교정이 아니라, 위아래 치아의 접촉점을 재설계하는 것이었습니다.
틀어진 턱의 움직임을 고려하여 교합면을 조정하고, 균형을 되찾는 과정이었습니다.
4. 빠른 조정과 피드백
"빠르게 하기 위해 고무줄도 걸고 이리저리 조합해서..."
환자분께서 하셨던 말씀처럼, 치료는 환자의 반응을 확인하며 계속해서 조정되어야 합니다.
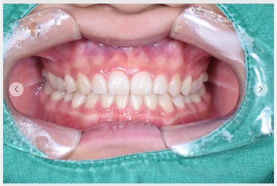
2025년 8월 21일,
마지막 진료 후 환자분은 이렇게 말씀하셨습니다.
"아직 완전히 끝난 건 아니지만... 그래도 이제 웃는 게 덜 어색해요."
환자분의 표정은 이전과 달라졌습니다.
조심스러움은 여전했지만, 그 안에 조금의 여유가 생겼습니다.
비포 앤 애프터 사진을 나란히 놓고 보니, 변화는 명확했습니다.
위아래 치아의 물림이 개선되었고, 얼굴의 좌우 균형이 잡히기 시작했으니까요.

이 케이스를 통해 깨달은 3가지
첫째, 부정교합은 '외모'가 아니라 '정체성'의 문제입니다.
부정교합으로 고민하시는 분들은 단순히 '예뻐지고 싶다'는 욕망을 가진 것이 아닙니다.
그분들이 원하는 것은 '정상적인 얼굴', '부끄럽지 않은 표정', '타인의 시선 속에서 조화로운 나'를 되찾는 것입니다.
그것은 자기 가치관의 회복입니다.
둘째, 환자의 불안은 당연한 것입니다.
"더 망가지는 건 아닐까", "수술이나 교정이 실패하면 어쩌지"라는 두려움은 과도한 것이 아닙니다.
신체 변형에 대한 불안, 사회적 수치심, 관계적 불안은 모두 실재합니다.
그래서 치료자는 단순히 '치료 방법'을 설명하는 것이 아니라, 환자가 느끼는 불안을 이해하고,
그것을 해소할 수 있는 명확한 근거를 제시해야 합니다.
셋째, 부정교합 치료는 '통제감 회복'의 과정입니다.
얼굴과 턱은 통제 불가능한 영역처럼 느껴집니다.
하지만 정밀한 진단과 맞춤 치료를 통해, 환자는 '내가 다시 내 얼굴의 주인이 될 수 있다'는 감각을 되찾습니다.
그것이 치료의 진짜 의미입니다.
마지막으로
부정교합으로 고민하시는 분들께 말씀드리고 싶습니다.
여러분이 느끼는 불안과 불편함은 '과장'이 아니라는 것입니다.
얼굴의 균형이 무너지면 신체적 불편함뿐만 아니라 정서적 불안정도 함께 찾아옵니다.
거울을 볼 때마다 스스로를 검열하고, 웃을 때마다 어색함을 느끼며, 타인의 시선을 의식하며 표정을 만들어야 하는 삶.
그것은 '나'로 살지 못하는 삶입니다.
부정교합 치료는 단순히 치아를 가지런히 만드는 것이 아닙니다.
무너진 균형을 되찾고, 스스로를 다시 사랑할 수 있는 출발점을 만드는 과정입니다.
그리고 그 과정에서 가장 중요한 것은,
당신이 느끼는 불안을 이해하고,
당신의 얼굴에 맞는 정확한 치료 계획을 세우며,
조금씩 변화를 체감할 수 있도록 함께 걸어가는 것입니다.
감사합니다.
노경우 원장이었습니다.
