안녕하세요.
검단가온치과의 대표원장 노경우입니다.

2024년 11월 말, 20대 남성 환자분이 저희 치과를 방문하셨습니다.
첫 상담에서 환자분은 이미 많은 것을 알고 계셨습니다.
“선생님, 제 어금니 충치가 깊고 치아 높이도 짧아요. 다른 병원에서는 크라운도 어렵다고 하더군요.
그럼... 임플란트밖에 답이 없는 건가요?”
환자분의 목소리에는 체념과 간절함이 담겨 있었습니다.
구강 검진 결과, 상황은 예상보다 훨씬 복잡했습니다.
단순한 충치가 아니었던 것이죠.
오늘은 깊은 충치와 짧은 치아로 인해 "임플란트만이 답일까?" 고민하는 분들을 위해 실제 치료 사례를 소개하고자 합니다.
이 사례를 통해 "지금 나는 어떤 치료를 받아야 할까?" 스스로 판단해 보시길 바랍니다.
그럼 시작해 보겠습니다.
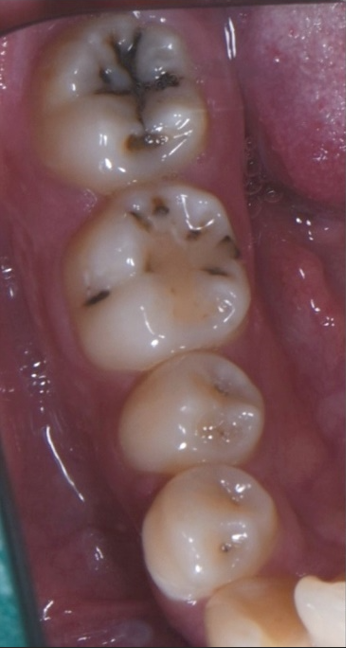
사진을 보시면 아시겠지만, 양쪽 끝 어금니에 검은 충치가 깊게 자리 잡고 있었습니다.


하지만 진짜 문제는 따로 있었습니다.
첫째, 치아의 높이가 매우 낮았습니다.
일반적으로 충치 치료 후 크라운을 씌우려면, 충치를 제거한 후에도 일정 높이의 치아가 남아 있어야 합니다.
그러나 이 환자분의 경우, 충치를 긁어내면 치아가 거의 남지 않을 정도였습니다.
잇몸이 드러날 정도로 낮아지면 크라운 치료 자체가 불가능합니다.
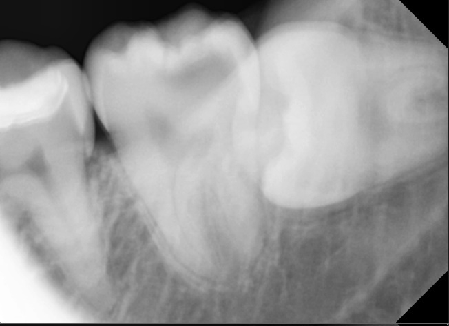
둘째, 충치가 신경 가까이까지 깊게 진행되어 있었습니다.
단순히 충치만 제거하면 신경이 노출될 가능성이 높아졌습니다.
셋째, 매복사랑니 문제까지 있었습니다.

교정, 임플란트, 충치 치료가 복합적으로 필요한 상황이었죠.
모든 문제들이 동시에 얽혀 있었습니다.
“그럼 발치하고 임플란트밖에 없나요?”
많은 병원에서 이런 경우 발치를 권장합니다.
물론 틀린 판단은 아닙니다.
구조적으로 크라운이 불가능하다면 임플란트가 가장 확실한 해결책처럼 보입니다.
하지만 환자분은 겨우 20대였습니다.
젊은 나이에 자연치아를 포기해야 한다는 것은 단순히 치아 하나를 잃는 것 이상의 의미가 있습니다.
자연치아는 한 번 뽑으면 다시 돌아오지 않습니다.
가장 큰 고민은 이것이었습니다.
이 치아를 살릴 방법은 정말 없는 걸까?
크라운이 아닌, '재건'이라는 접근
고민 끝에 선택한 방법은 특수 fiber를 이용한 레진빌드업이었습니다.
많은 분들이 '레진빌드업'과 '크라운'의 차이를 잘 모르십니다.
간단히 설명 드리면:
크라운(Crown)
- 치아를 깎아내고 그 위에 씌우는 보철물
- 치아가 일정 높이 이상 남아 있어야 함
- 기둥(치아)이 있어야 지붕(크라운)을 올릴 수 있는 구조
레진빌드업(Resin Build-up)
- 없어진 치아 구조를 특수 재료로 '재건'하는 치료
- 치아가 거의 남지 않은 경우에도 가능
- 기둥을 다시 세우는 개념
이 환자분의 경우, 치아 높이가 너무 낮아 크라운을 씌울 기둥 자체가 부족했습니다.
그래서 기둥을 다시 세워야 했습니다.
특수 fiber를 이용한 레진빌드업은 이런 경우에 사용하는 고난이도 술식입니다.
단순히 충치 부위를 메우는 것이 아니라, 치아의 구조 자체를 재건하는 것이죠.
MTA 부분신경치료, 신경을 살리는 선택
또 하나의 문제가 있었습니다.
충치가 신경 가까이까지 진행되어 있었기에 일반적인 치료만으로는 신경 손상 가능성이 높았습니다.
그래서 MTA 부분신경치료를 진행했습니다.
MTA(Mineral Trioxide Aggregate)는 생체친화적인 특수 시멘트입니다.
MTA 부분신경치료란?
- 신경 전체를 제거하지 않고, 손상된 부분만 보호하는 치료
- 신경이 노출될 위험이 있는 깊은 충치에 사용
- 신경 위에 MTA를 덮어 보호막을 형성
- 자연치아의 생명력을 최대한 보존
일반적인 신경치료(근관치료)는 신경을 완전히 제거합니다.
하지만 MTA 부분신경치료는 신경을 살리면서 치료합니다.
그런데, 왜 모든 병원에서 하지 않을까요?
고도의 정밀함이 필요하고, 치료 시기와 판단이 매우 중요합니다.
충치 깊이와 신경 상태를 정확히 평가해야 하며, 실패하면 결국 완전한 신경치료가 필요할 수 있습니다.
이 4가지 어려움과 리스크가 존재하기 때문입니다.
하지만 성공한다면, 자연치아의 생명력을 그대로 유지할 수 있습니다.
9개월의 여정
2024년 11월 29일부터 2025년 9월 12일까지 약 9개월간 치료가 진행되었습니다.
단순히 충치 하나를 치료하는 것이 아니었습니다.
매복사랑니 발치 후 교정 준비와 임플란트 계획, 그리고 깊은 충치의 정밀 치료가 모두 유기적으로 연결되어 있었습니다.
레진빌드업을 진행하면서 가장 신경 쓴 부분은
이 치아가 앞으로 진행될 교정과 교합 조정 과정에서 제대로 기능할 수 있을까 하는 점이었습니다.
단순히 치아를 살리는 것이 아니라, 앞으로의 모든 치료 과정에서 문제없이 기능해야 했습니다.
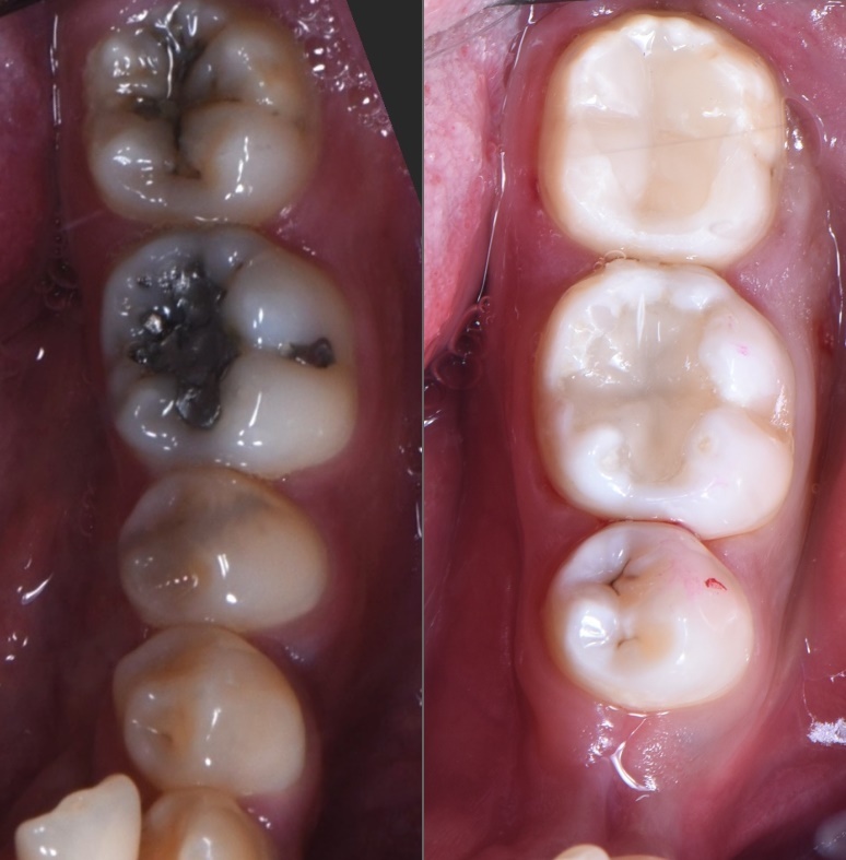
비포 앤 애프터 사진을 보시면 알 수 있습니다.


검게 썩어있던 깊은 충치는 깔끔하게 제거되었고, 특수 fiber를 이용한 레진빌드업으로 치아의 형태가 완벽하게 재건되었습니다.
“자연치아를 살릴 수 있어서 다행입니다.”
마지막 진료 후 환자분은 이렇게 말씀하셨습니다.
“처음에는 정말 임플란트밖에 답이 없는 줄 알았어요. 20대에 벌써 치아를 뽑아야 한다는 게 받아들이기 힘들었거든요. 자연치아를 살릴 수 있어서 정말 다행입니다.”
환자분의 표정에서 안도감이 느껴졌습니다.
충치가 깊다고 해서
무조건 신경을 제거해야 하는 것도 아닙니다.
치아 높이가 낮다고 해서
크라운이 불가능하다면 끝인 것도 아닙니다.
정밀한 진단과 적절한 술식, 그리고 포기하지 않는 치료 계획이 있다면 자연치아를 살릴 수 있는 가능성은 존재합니다.
20대 남성 환자분이 9개월 만에 되찾은 것은 단순히 '치료된 치아'가 아니었습니다.
그것은 '자연치아를 지킬 수 있다는 희망'과 '20대에 이미 치아를 잃지 않아도 된다는 안도감'이었습니다.
노경우 원장이었습니다.
감사합니다.
