"치과 가는 게 두렵다."
어릴 적, 저는 항상 이렇게 말하곤 했습니다.
지금은 치과 의사가 되었지만, 역설적이게도 치과는 저에게 두려운 장소입니다.
그 이유는 누구나 아실 겁니다.
충치가 있는 치아를 긁어내고, 본을 뜨기 위해 건강한 치아까지 깎아내며,
그 자리에 충전재를 채우는 과정이 상상만 해도 아찔하죠.
특히 어린 시절, "치아를 더 깎아야 보철물을 씌울 수 있다"는 말을 들었을 때의 두려움이 떠오릅니다.
어쩌면 여러분도 비슷한 경험을 하셨을 겁니다.
“레진 빌드업”을 검색하며 해결책을 찾고 계실 텐데요.
그런데 막상 검색해보면 레진 빌드업 치료를 제공하는 치과가 생각보다 적어 놀라셨을 것입니다.
또, 이런 생각도 함께 드셨을 겁니다.
레진이랑 레진빌드업이랑 뭐가 다르지?
그래서 오늘은 아래 세 가지를 하나하나 살펴보려고 합니다.
1. 레진빌드업 VS 레진 차이점
2. 레진 빌드업을 제공하는 치과는 왜 적은가?
3. 레진 빌드업 치과를 선택하는 TIP
소개가 늦었습니다.
저는 검단가온치과의 원장 노경우입니다.

1. “레진 빌드업?” 이게 뭐죠?
레진 빌드업이라는 용어가 다소 낯설게 느껴지실 수 있습니다.
간단히 말하자면, 레진 빌드업은 충치로 손상된 치아를 복구하는 치료법으로,
손상된 부분만 제거하고 레진 재료를 층층이 쌓아 치아의 원래 모양을 재현하는 방식입니다.
‘빌드업’이라는 이름처럼, 치아를 쌓아 올리며 자연스러운 심미성과 기능을 복원하는 것입니다.

기존의 충치 치료와는 어떤 차이가 있을까요?
기존의 인레이(보철물)나 크라운 치료는 치아를 많이 깎아내고 본을 떠서 보철물을 제작한 후 부착하는 과정을 필요로 합니다.
이 과정은 최소 일주일 이상 소요되며, 2~3회 내원이 필수입니다.
반면, 레진 빌드업은 치아 삭제량을 최소한으로 당일 1회 방문만으로 치료를 완료할 수 있습니다.
어쩌면 "레진 빌드업"의 장점이 익숙하게 느껴지실 수 있습니다.
그런데, 왜 레진 빌드업 치료를 제공하는 치과가 적을까요?
레진 빌드업은 단순한 충치 치료가 아닙니다.
이 치료는 높은 기술과 전문성을 요구하기 때문에 모든 치과에서 쉽게 제공하기 어렵습니다.
정확히 말하자면, 안 하는 게 아니라 못 하는 경우가 많습니다.
그 이유는 크게 두 가지로 나눌 수 있습니다.
1. 고가의 재료와 전문 장비
레진 빌드업은 고품질 레진 재료와 최신 접착 기술, 정밀한 기구가 필요합니다.
예를 들어, 치아의 자연스러운 색상과 형태를 구현하려면 다양한 성상의 레진과 고성능 연마 장비가 필수적입니다.
이러한 재료와 장비는 비용이 높아 모든 치과에서 갖추기 어렵습니다.
2. 높은 수기적 테크닉과 해부학적 이해
레진 빌드업은 치과의사의 손끝에서 완성됩니다.
충치 제거 후 레진을 층층이 쌓아 치아의 이상적인 모양을 복원하려면
치아의 해부학적 구조를 깊이 이해하고 정밀한 수기적 기술이 필요합니다.
여러분의 어금니 표면은 평평한가요? 아니면 울퉁불퉁한가요?
네, 맞습니다.
사람이라면 누구나 울퉁불퉁한 어금니를 가지고 있을 겁니다.
그런데, 일정하지 않은 어금니의 표면을 레진으로 구현하는 것이 쉬운 일일까요?
잠깐 생각해보아도, 매우 어렵게 느껴질 것입니다.
그렇기에 치아의 표면을 자연스럽게 재현하려면 치과의사의 경험이 중요합니다.
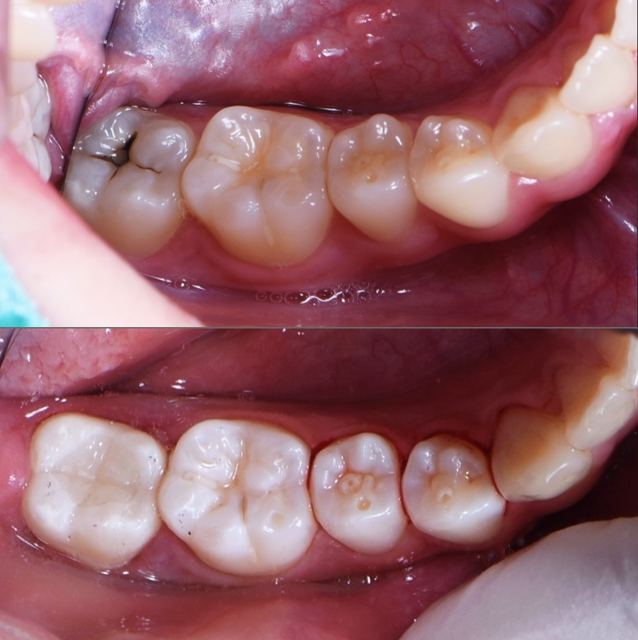
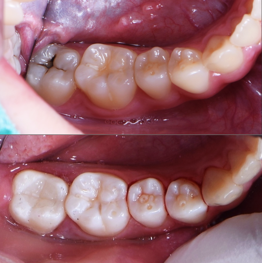
실제로 치료 과정은 다음과 같습니다.
1. 충치 제거: 손상 부위를 정밀하게 제거합니다.
2. 레진 적층: 치아 모양을 복원하며 레진을 층층이 쌓습니다.
3. 마무리 및 연마: 자연스러운 광택과 편안한 씹힘을 위해 표면을 다듬습니다.
이 과정은 30~50분 소요되며, 숙련된 치과의사만이 일관된 결과를 낼 수 있습니다.
3. 레진 빌드업 치과 고르는 TIP
레진 빌드업은 고난도 치료인 만큼 치과 선택이 매우 중요합니다.
여러분은 이미 치과의 규모나 의사의 경력을 고려하고 계실 테니, 오늘은 핵심적인 팁 하나를 드리겠습니다.
실제 치료 사례를 확인하세요.

왜 실제 치료 사례가 필요할까요?
1. 전문성 확인
앞서 말씀드렸듯, 레진 빌드업은 치과의사의 기술에 크게 의존합니다.
실제 사례를 통해 치과의사가 얼마나 정밀하고 자연스러운 결과를 내는지 확인할 수 있습니다.
2. 적합성 판단
치아 손상 정도에 따라 레진 빌드업이 적합하지 않을 수 있습니다.
사례를 통해 본인의 상황과 비슷한 케이스를 확인하면 적절한 치료를 받을 가능성이 높아집니다.

"비용이 너무 비싸지 않을까요?"
레진 빌드업은 고가의 재료를 사용하지만,
보철물 제작이 없기 때문에 전체 비용은 인레이나 크라운과 비슷하거나 더 합리적일 수 있습니다.
또한, 사례를 확인하면 과잉 진료 우려를 줄이고 신뢰를 쌓을 수 있습니다.
자연치아를 최대한 살리고 심미성과 편안함을 동시에 고려하고 싶어
레진 빌드업 치과를 고민 중이신 여러분의 마음, 잘 알고 있습니다.
치아를 아끼는 마음이 크신 만큼 치과 선택도 신중해야 합니다.
오늘 알려드린 레진 빌드업의 특징과 치과 고르는 팁을 참고하여 후회 없는 결정을 내리시길 바랍니다.
긴 글 읽어주셔서 감사합니다!
검단가온치과의 노경우 원장이었습니다.
