안녕하세요.
검단가온치과의 대표원장 노경우입니다.

여러분, 임플란트 상담을 위해 다섯 군데나 다녀왔는데,
가격이 천차만별이라 더욱 혼란스럽지 않으신가요?
어떤 곳은 50만원이라고 하고, 어떤 곳은 200만원이 넘는다고 하니
도대체 어떤 정보를 믿어야 할지 막막합니다.
많은 분들이 치과를 왔다 갔다 하며 가격 비교에 지치고 계시죠.
사실 많은 분들이 "저렴한 곳은 무조건 위험하고, 비싼 곳은 무조건 좋다"는 단순한 생각을 가지고 있습니다.
하지만 현직 의사로서 말씀드리자면, 이런 이분법적 사고는 오히려 더 큰 손해를 초래할 수 있습니다.
그래서 오늘은 많은 분들이 궁금해하시는 '왜 임플란트 가격이 이렇게 다를까?'에 대해 이야기해 보려 합니다.
글을 끝까지 읽으신다면, 가격표가 아닌 여러분에게 맞는 치과를 찾는 현명한 기준을 자연스럽게 알게 되실 것입니다.


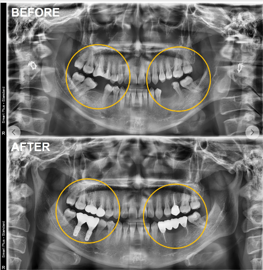
(어금니 브릿지+임플란트 치료 사례)
"임플란트 가격이 다른 이유는?"
임플란트 가격 차이는 단순히 치과의 이익 추구 때문만은 아닙니다.
의학적으로 타당한 이유들이 존재합니다.
첫째, 시술의 난이도가 사람마다 다릅니다.
치조골(턱뼈)이 충분한 분들은 기본 시술만으로 가능하지만,
골량(뼈의 양)이 부족하다면 골이식이나 상악동거상술 같은 추가 수술이 필요합니다.
이는 마치 집을 지을 때 평지와 경사지의 공사비가 다르게 드는 원리와 같습니다.
둘째, 임플란트 재료와 브랜드의 임상적 차이도 무시할 수 없습니다.
수입 브랜드는 20-30년의 장기 임상 데이터와 특허 기술을 보유하고 있어 가격이 비쌉니다.
국산 브랜드도 최근 품질이 많이 향상되었지만, 장기 추적 데이터는 아직 부족한 편입니다.
셋째, 진단의 정밀도가 결과를 좌우합니다.
CT 촬영 없이 간단한 방사선 사진만으로 진단하는 곳과,
3차원 영상으로 신경 위치까지 정확히 파악하는 곳의 비용은 같을 수 없습니다.
정밀 진단은 수술 실패나 신경 손상 같은 부작용을 예방하는 데 핵심입니다.
"50만원 임플란트의 함정"
임플란트 50만원!
이런 광고를 보고 방문했다가 실망하신 경험이 있으신가요?
결론부터 말씀드리자면, 대부분의 저가 광고는 '기본 케이스'에만 해당하는 가격일 확률이 높습니다.
즉, 발치한 지 얼마 안 되어 뼈가 충분하고 잇몸 상태가 양호하며 추가 시술이 전혀 필요 없는 경우를 말하는 것입니다.
하지만 실제로 이런 환자는 전체의 20-30%에 불과합니다.
그렇다면 나머지 70-80%는 어떨까요?
치아를 뽑은 지 오래되어 뼈가 흡수되었거나, 잇몸 염증이 있거나, 인접 치아에 문제가 있는 경우가 대부분입니다.
이런 분들은 골이식(50-100만원), 상악동거상술(100-200만원), 잇몸 치료(30-50만원) 등이 추가로 필요합니다.
결국 50만원으로 시작했다가 최종 견적이 200만원을 넘어가는 일이 비일비재합니다.
처음부터 정확한 진단을 통해 전체 비용을 투명하게 안내받는 것이 오히려 더 경제적이고 현명한 선택이 될 것입니다.
"나에게 맞는 임플란트 찾기"
그렇다면 어떤 기준으로 선택해야 할까요?
가격이 아닌 '개인 맞춤형 진단과 투명한 설명'이 진짜 기준이 되어야 합니다.
우선 CT를 포함한 정밀 진단이 필수입니다.
육안이나 단순 방사선 사진으로는 보이지 않는 골 밀도, 신경 위치, 상악동 상태 등을 정확히 파악해야 안전한 시술이 가능합니다.
"CT 찍을 필요 없다"고 하는 곳이라면 충분한 검토가 필요합니다.


(60대 여성 임플란트 치료 사례)
다음으로 중요한 것은 나와 비슷한 치료 사례가 있는지 확인하는 것입니다.
"앞니가 빠진 경우",
"어금니 여러 개가 없는 경우",
"뼈가 많이 부족한 경우" 등
자신과 유사한 상황의 치료 과정과 결과를 사진이나 영상으로 설명해주는지 살펴볼 필요가 있습니다.


(영구치 결손 임플란트 치료 사례)
무엇보다 "왜 이런 치료가 필요한지", "어떤 방식으로 진행되는지"를 환자가 이해할 수 있을 정도로 설명해주는 곳을 선택하시길 권합니다.
의학 용어를 남발하거나 "그냥 믿고 맡기라"는 식의 일방적 설명은 피하는 것이 좋습니다.

마지막으로, 치료 후 관리 계획도 꼭 확인하세요.
정기 점검 주기, 관리 방법, 문제 발생 시 대처 방안 등을 구체적으로 안내하는지 살펴보시기 바랍니다.
임플란트는 심는 것보다 유지하는 것이 더 중요하니까요.
이번 글의 핵심 요약
1. 임플란트 가격 차이는 시술 난이도, 재료, 진단 정밀도, 의료진 전문성 등 의학적으로 타당한 이유가 있습니다.
2. 저가 광고는 기본 케이스에만 해당하며, 실제로는 추가 비용이 발생하는 경우가 대부분입니다.
3. 단순 검단치과 추천이 아닌 정밀 진단, 유사 사례 설명, 투명한 치료 계획, 사후 관리를 기준으로 선택하세요.
여기까지 임플란트 가격이 치과마다 다른 이유와 현명한 선택 기준에 대해 살펴보았습니다.
정리하자면,
저렴한 가격에 현혹되기보다는 자신의 구강 상태를 정확히 진단하고 투명하게 설명해주는 치과를 찾는 것이 가장 중요합니다.
특히 여러 치과를 전전하며 혼란스러우시다면,
더는 시간 낭비하지 마시고 믿을 수 있는 전문의에게 정확한 진단을 받아보시기 바랍니다.
읽어주셔서 감사합니다.
검단가온치과 대표원장 노경우였습니다.
