치경부 마모증 본드필 치료 완벽 가이드 | 3년 보증 시스템
치경부 마모증은 치아와 잇몸의 경계 부분이 V자 형태로 패이는 증상입니다.
방치할 경우 신경 노출과 극심한 통증을 유발하며 신경치료가 필요할 수 있습니다.
검단가온치과는 본드필 듀얼 큐어 시스템과 3년 보증으로 장기적 해결책을 제공합니다.

치경부 마모증이란 무엇인가요?
치아 목 부분이 V자나 쐐기 모양으로 움푹 패이는 현상을 치경부 마모증이라고 합니다.
치아와 잇몸이 만나는 경계선이 닳아서 발생하는 질환입니다.
거울로 관찰하면 해당 부위가 뚜렷하게 움푹 들어간 것을 확인할 수 있습니다.
양치 시 시린 증상이 대표적인 신호이며, 찬물이나 차가운 음식 섭취 시 불편함이 심해집니다.
치경부 마모증의 주요 원인은 무엇인가요?
치경부 마모증은 다양한 요인으로 발생합니다.
일상 습관과 식습관이 복합적으로 작용하여 치아 표면을 손상시킵니다.
과도한 칫솔질:
옆으로 힘주어 닦거나 딱딱한 칫솔모 사용 시 치아 표면이 점진적으로 깎여나갑니다.
이갈이와 이 악물기:
수면 중 이갈이나 스트레스성 악물기로 치아에 과도한 압력이 가해져 치경부가 약화됩니다.
산성 식품 섭취:
탄산음료, 과일 주스, 와인 등을 자주 마시면 법랑질이 부식되어 마모가 가속화됩니다.
치경부 마모증을 방치하면 어떻게 되나요?
조기 치료를 하지 않으면 신경 노출과 치아 파절의 위험이 높아집니다.
시린 증상이 점차 악화되어 일상생활에 지장을 줍니다.
치아 신경이 노출될 경우 극심한 통증이 발생하며 신경치료가 불가피해집니다.
치아 구조가 약해져 파절될 가능성도 증가합니다.
초기 단계에서 발견하여 치료하는 것이 가장 중요합니다.
본드필 시스템이란 무엇인가요?
접착과 수복을 동시에 해결하는 듀얼 큐어(Dual Cure) 시스템입니다.


본드필 DUAL 재료
사진 출처: 검단가온치과 실제 사용 재료
검단가온치과는 본드필(Bondfil DUAL)을 치경부 마모증 치료에 사용합니다.
단순 충전재와 달리 화학중합과 광중합을 함께 활용하는 방식입니다.
화학중합은 재료를 혼합한 후 약 5분간 자체적으로 굳는 과정이며, 광중합은 필요 시 빛을 조사하여 경화를 보조합니다.
빛이 닿기 어려운 깊은 부위에서도 안정적인 치료 결과를 제공합니다.
계면중합:
치아 표면과 재료의 경계면에서부터 중합이 시작되어 미세한 틈 없이 완벽하게 밀착됩니다.유연성:
씹는 힘을 받을 때 치아와 함께 움직이며 충격을 흡수하여 탈락 위험을 낮춥니다.내마모성:
TMPT 필러 함유로 장기간 사용해도 잘 닳지 않으며 맞물리는 치아 손상도 최소화합니다.
일반 레진과 본드필은 어떻게 다른가요?
동일한 레진 치료라도 사용 재료에 따라 결과가 완전히 달라집니다.
본드필은 시간과 비용 투자가 더 필요하지만 장기적 내구성이 우수합니다.
비교 항목 | 일반 레진 | 본드필 (Bondfil DUAL) |
|---|---|---|
재료 특성 | 광중합 레진 | 듀얼 큐어 (화학+광중합) |
경화 방식 | 빛으로만 굳힘 | 혼합 후 5분 대기 + 빛 조사 |
시술 방법 | 적층충전 | 층상 적용 (필적법) |
유연성 | 보통 | 유연함 (탈락률 감소) |
접착력 | 보통 | 강함 (변연 봉쇄 우수) |
내마모성 | 보통 | 우수 (TMPT 필러) |
보증 기간 | 없음 | 3년 보증 |
시술 시간 | 15-20분 | 30-40분 |
본드필 층상 적용 시술은 어떻게 진행되나요?
검단가온치과는 층상 적용(Incremental Application) 방식으로 본드필을 시술합니다.
정석 프로토콜을 준수하여 장기적으로 안정적인 결과를 제공합니다.
치아 표면 처리:
15초간 에칭하여 표면을 미세하게 처리하고, 20초간 프라이머를 도포하여 접착력을 높입니다.재료 혼합:
베이스와 촉매를 3 대 1 비율로 혼합한 후 파우더를 섞어 점도와 색상을 조절합니다.층상 적용:
혼합된 재료를 한 겹씩 얇게 쌓아올리며 각 층마다 형태를 정밀하게 성형합니다.화학중합 대기:
5분간 대기하여 재료가 자체적으로 굳으면서 치아와 강력하게 접착됩니다.광중합 보조:
필요 시 빛을 조사하여 추가 경화를 진행합니다.
이 방법은 접착력을 향상시키고 변형을 최소화하며 유연성을 확보합니다.
치아 표면에서부터 중합이 시작되어 접착면이 더욱 치밀해지고 탈락 위험이 현저히 낮아집니다.
화학중합 과정을 통해 수축량을 최소화하고, 층상 적용으로 응력을 분산시킵니다.
굳은 후에도 적당한 유연성을 유지하여 씹는 힘에 함께 움직이며 충격을 흡수합니다.
검단가온치과만의 차별점은 무엇인가요?
검단가온치과는 투명한 진료와 프리미엄 치료 시스템으로 환자 만족도를 높입니다.
DSLR 사진 진료:
모든 진료를 고해상도 카메라로 촬영하여 큰 모니터로 환자와 함께 확인하며 상담합니다. 치료 전후 상태를 눈으로 직접 비교할 수 있습니다.더블보드 전문의 진단:
노경우 대표원장은 보철과와 통합치의학과 전문의로, 치경부 마모증의 정확한 원인 진단과 재발 방지 솔루션을 제시합니다.본드필 듀얼 큐어 시스템:
화학중합과 광중합을 활용한 정석 프로토콜로 오래 지속되는 치료 결과를 제공합니다.3년 보증 시스템:
보증 기간 내 탈락 시 무상 재시술로 환자의 불안을 해소합니다.
3년 보증 시스템은 어떻게 운영되나요?
본드필 치료에 대해 3년간 무상 재시술을 보증합니다.
보증 기간 동안 레진이 떨어지거나 깨진 경우 추가 비용 없이 재시술해드립니다.
6개월마다 정기 검진을 권장하며, 환자분의 구강 위생 관리가 유지되어야 합니다.
과도한 외력으로 인한 손상은 제외될 수 있습니다.
프리미엄 재료와 필적법 시술에 대한 자신감을 바탕으로 결과로 책임지는 시스템입니다.

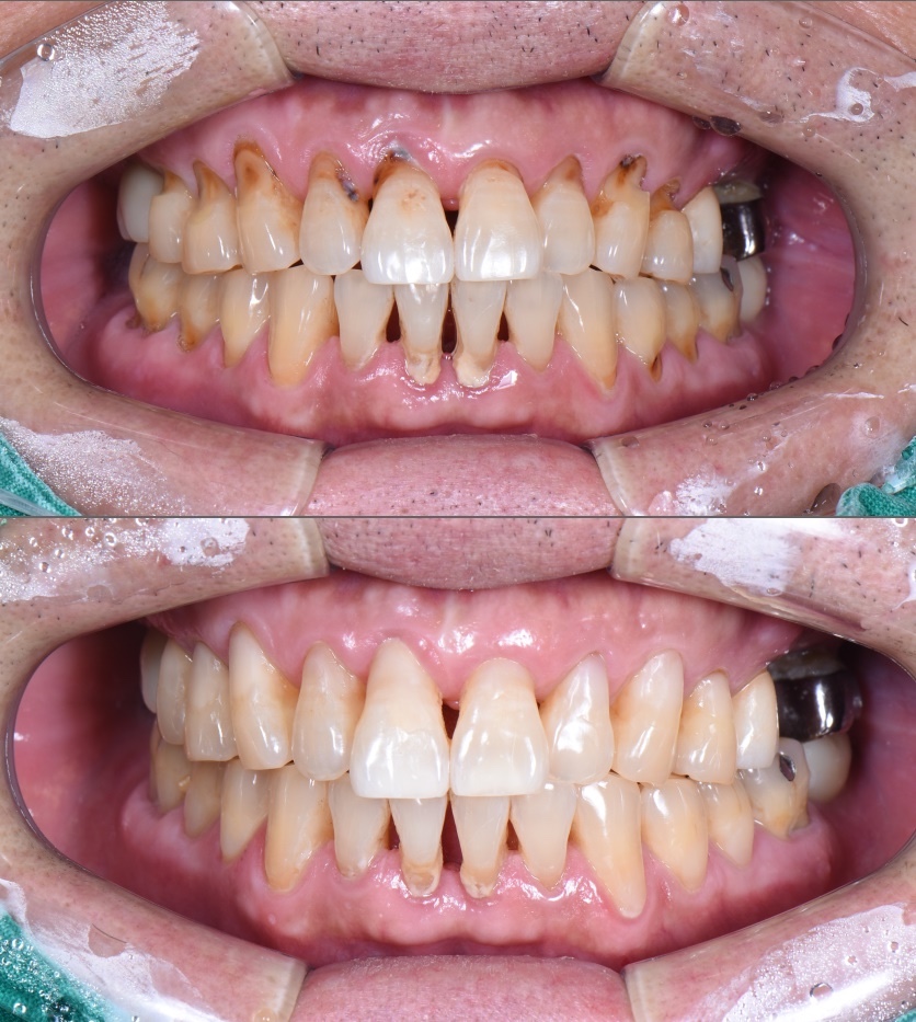
본드필 전후 비교 - 치경부 마모증 치료 결과 (실제 비교사진)
자주 묻는 질문
Q1. 치경부 마모증을 꼭 치료해야 하나요?
조기 치료가 매우 중요합니다.
방치하면 신경이 노출되어 극심한 통증과 신경치료가 필요할 수 있습니다.
초기 단계에서 발견하여 치료하면 간단한 레진 치료만으로 해결 가능합니다.
Q2. 본드필이 정확히 무엇인가요?
접착과 수복을 동시에 하는 듀얼 큐어 시스템입니다.
일반 레진은 빛으로만 굳지만, 본드필은 혼합 후 5분 대기하며 자체적으로 굳고 필요 시 빛을 추가로 조사합니다.
치경부 마모증처럼 탈락이 잦은 부위에 특히 효과적입니다.
Q3. 일반 레진과 본드필의 차이점은 무엇인가요?
경화 방식과 물성이 다릅니다.
본드필은 듀얼 큐어 방식으로 더 강한 접착력과 유연성을 가지며, 층상 적용으로 탈락률을 낮춥니다.
일반 레진에 비해 시술 시간은 길지만 내구성이 우수합니다.
Q4. 본드필 치료 비용은 얼마인가요?
프리미엄 재료와 정석 프로토콜 시술로 인해 추가 비용이 발생할 수 있습니다.
초진 상담 시 치아 상태를 확인하고 비용을 투명하게 안내해드립니다.
보험 적용 여부도 함께 상담해드립니다.
Q5. 3년 보증 조건은 무엇인가요?
6개월마다 정기 검진을 권장하며, 보증 기간 내 탈락 시 무상 재시술해드립니다.
과도한 외력으로 인한 손상은 제외될 수 있으며, 환자분의 구강 위생 관리가 유지되어야 합니다.
Q6. 치료 후 시린 증상이 바로 사라지나요?
대부분의 경우 치료 직후부터 시린 증상이 크게 개선됩니다.
치료 직후 며칠간 약간의 시린 증상이 있을 수 있으나, 1-2주 내 사라지는 경우가 많습니다.
개인차가 있을 수 있습니다.
Q7. 치료 시간은 얼마나 걸리나요?
정석 프로토콜을 준수하므로 약 30-40분 소요됩니다.
빠른 진료보다 필요한 곳에 충분한 시간을 투자하는 것이 중요합니다.
Q8. DSLR 사진 진료는 무엇인가요?
모든 진료를 고해상도 카메라로 촬영하여 큰 모니터로 환자와 함께 확인하는 시스템입니다.
치경부 마모증의 위치와 정도를 눈으로 직접 확인하며, 치료 전후 상태를 비교할 수 있습니다.
검단가온치과 초진 예약 안내
예약 시 "블로그 보고 예약합니다"라고 말씀해주시면 초진 상담 시간을 넉넉하게 배정해드립니다.
<초진 혜택>
DSLR 전체 치아 사진 촬영 (추가 비용 없음)
큰 모니터로 함께 보는 1:1 상담
치료 계획서 제공
보험 적용 여부 상담
<예약 방법>
전화 예약: 0507-1433-2881
<오시는 길>
주소: 인천광역시 서구 완정로178번길 1 검단빌딩 2층 위치: 검단사거리역 도보 3분 주차 가능 | 일요일 진료 가능
<진료 시간>
요일 | 진료 시간 |
|---|---|
월/수/금 | 09:30 – 18:30 |
화/목 | 09:30 – 20:30 |
토/일 | 09:30 – 14:00 (점심시간 없이 운영) |
점심시간 | 12:30 – 14:00 |
접수마감 | 월/수/금 18:00 화/목 20:00 토/일 13:30 |
작성자: 노경우 - 더블보드 전문의 (보철과, 통합치의학과 전문의)
최종 업데이트: 2025년 1월 29일
