치아교정 완전 가이드: 장치 종류·검사 과정·기간·발치 기준·통증·위생·보험 적용까지
상담 예약을 잡기 전, 검색창에 '교정 기간', '발치 꼭 해야 하나요'를 몇 번이고 쳐봤다면 이 글이 도움이 될 수 있습니다.
어떤 장치를 쓰는지, 검사는 어떻게 진행되는지, 기간은 얼마나 걸리는지, 통증은 어느 정도인지
처음 교정을 고민할 때 생기는 대표적인 질문 7가지를 상담 전에 미리 알아두면 좋을 핵심 정보 중심으로 정리했습니다.

치아교정 전후 비교
교정 장치 종류, 어떤 기준으로 골라야 할까요?
장치 종류 자체가 치료 효과를 결정적으로 좌우하기보다, 심미성·진료 시간 같은 요소를 함께 고려해 선택하게 됩니다.
기본적으로 장치에 따른 치료 효과의 차이는 크지 않습니다.
다만 더 심미적이고 진료 의자에 앉아 있는 시간(체어타임)이 상대적으로 짧은 세라믹 자가결찰 장치를 선택하는 경우가 있습니다.
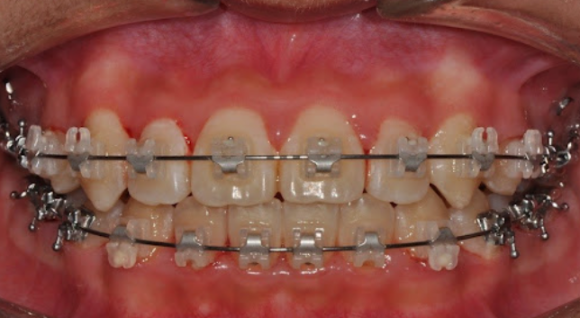
세라믹 자가결찰 장치란 세라믹 재질로 만들어진 교정 장치의 한 종류입니다.
심미성: 금속 장치보다 눈에 덜 띄는 세라믹 소재 선택 가능
체어타임: 자가결찰 방식은 철사 조정 시간이 상대적으로 짧을 수 있음
치료 효과: 장치 종류보다 치료 계획과 개인 상태가 더 크게 작용

자가결찰 브라켓(교정 장치) 예시
상담 시 "제 경우에도 세라믹 자가결찰 장치가 적합한지", "장치 선택에서 중점적으로 봐야 할 부분이 무엇인지" 직접 확인해 보시길 권합니다.
초진 상담과 정밀검사는 어떻게 진행되나요?
초진에서는 파노라마 엑스레이와 구강 상태 확인 후 대략적인 치료 방향을 안내받고, 정밀검사에서 자세한 기록을 만들어 치료 계획을 확정합니다.
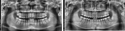
처음 방문하는 초진에서는 치아와 턱 주변을 넓게 촬영하는 파노라마 엑스레이와 구강 상태 확인을 통해,
교정적으로 어떤 문제가 있는지 파악하고 대략적인 치료 방법을 설명드립니다.

부정교합 치료 전후 파노라마 X-ray(엑스레이)
정밀검사 진행 항목
구내·구외 임상 사진 촬영: 입 안과 얼굴 외부 사진
측면·정면 머리 엑스레이(lateral, PA cephalo) 촬영
인상 채득: 치아 모형 제작을 위해 본을 뜨는 과정
이 검사 자료를 바탕으로 엑스레이와 모형을 분석해 문제점을 정리하고, 개인에게 맞는 치료 계획을 상담을 통해 안내하게 됩니다.


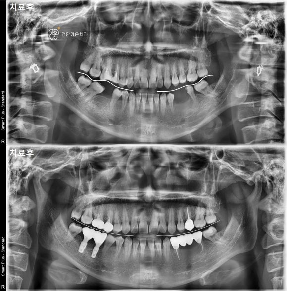
교합평면 변화 비교 자료
전체교정과 부분교정, 기간은 얼마나 걸리나요?
전체교정은 비발치 약 1년 반, 발치 약 2년이 평균적으로 안내되며, 부분교정은 평균 6개월 정도입니다.
다만 개인마다 달라질 수 있습니다.
교정 기간은 치아가 움직이는 속도나 이동이 필요한 양에 따라 차이가 생깁니다.
같은 조건이라도 개인별 치아 이동 속도에 따라 안내 기간보다 짧거나 길어질 수 있습니다.
전체교정 (비발치): 평균 약 1년 반
전체교정 (발치): 평균 약 2년
부분교정: 평균 약 6개월
상담 시 발치·비발치 가능성과 함께 기간이 달라질 수 있는 요인이 무엇인지 직접 확인해 두시면 치료 준비에 도움이 됩니다.
발치교정은 언제 필요한가요?
입술 돌출 정도와 치아 배열에 필요한 공간이 얼마나 부족한지가 핵심 판단 기준입니다.
발치와 비발치를 결정할 때 기본적으로 두 가지를 살펴봅니다.
첫째는 입술이 얼마나 돌출되어 있는지, 둘째는 치아가 가지런히 배열되기 위해 필요한 공간이 얼마나 부족한지입니다.
이 두 가지 정도가 클수록 발치를 고려하게 되고, 그렇지 않은 경우에는 비발치로 치료를 진행하는 경우가 많습니다.
입술 돌출도: 돌출 정도가 클수록 발치 가능성 높아짐
치아 배열 공간 부족량: 부족량이 많을수록 발치 고려
두 요소의 정도가 적을 경우: 비발치로 진행하는 경우가 많음
교정 중 통증은 어느 정도이고, 피해야 할 음식은 무엇인가요?
와이어 교체 후 2~3일 뒤 통증이 심해지는 경우가 많으며, 보통 1주일 정도 지나면 완화됩니다.
내원해서 교정 장치의 철사(와이어)를 교체·조정하고 나면,
처음에는 치아가 조이는 듯한 불편함을 느끼지만 2~3일이 지난 시점에서 통증이 강해지는 경우가 많습니다.
통증이 심할 때는 진통제 복용을 권하기도 하며, 1주일 정도 경과하면 대개 완화됩니다.
교정 기간 중 피해야 할 음식 유형
딱딱한 음식: 장치나 철사가 탈락할 수 있음
끈적이는 음식: 장치에 달라붙어 탈락 유발 가능
부피가 크거나 질긴 음식: 장치에 무리를 줄 수 있음
교정 기간 동안 위생 관리는 어떻게 해야 하나요?
장치 주변에 음식물이 잔류하기 쉬우므로 교정 전보다 더 꼼꼼한 칫솔질이 필요합니다.
교정 장치가 있으면 일반 칫솔질만으로는 깨끗하게 닦기 어려운 부위가 생깁니다.
장치를 감싸듯 칫솔을 움직이는 방식으로 닦아야 하며, 장치 주변을 닦기 쉬운 형태로 설계된 교정 환자 전용 칫솔 사용을 권합니다.
칫솔로 닿기 어려운 좁은 틈은 치간칫솔을 함께 활용해 관리하면 도움이 됩니다.
교정 전용 칫솔: 장치 주변을 닦기 쉬운 형태의 칫솔 활용
치간칫솔: 일반 칫솔로 닿기 어려운 작은 틈 관리에 사용
칫솔질 방향: 장치를 감싸듯 닦는 방식 권장
치아교정에 건강보험이 적용되나요?
일반적인 부정교합 교정치료는 건강보험이 적용되지 않습니다.
단, 특정 선천성 악안면 기형으로 국민건강보험공단에 등록된 경우에는 보험이 적용됩니다.
보험 적용 대상이 되려면 아래 조건 중 하나에 해당하면서 국민건강보험공단에 치과교정 및 악정형 치료 대상자로 등록되어 있어야 합니다.
악정형 치료란 턱뼈의 성장이나 위치를 바로잡기 위한 교정 치료를 말합니다.
구순구개열 환자: 구개열, 구순열을 동반한 치조열, 구순열을 동반한 구개열 해당
희귀질환 산정특례 등록자: 쇄골두개골이골증, 두개안면골이골증, 크루존병, 첨두유합지증
근거 기준은 보건복지부 고시 제2021-248호(2021년 10월 1일 시행)입니다.
자주 묻는 질문
Q1. 세라믹 자가결찰 장치가 일반 장치보다 치료 효과가 더 좋은가요?
장치 종류 자체가 치료 효과를 결정적으로 가르지는 않습니다.
세라믹 자가결찰 장치는 심미성이 높고 체어타임이 짧을 수 있다는 장점이 있지만,
치료 효과는 장치보다 개인 상태와 치료 계획에 더 크게 영향을 받습니다.
Q2. 초진 상담과 정밀검사는 같은 날 진행되나요?
일반적으로 초진과 정밀검사는 별도로 진행됩니다.
초진에서 파노라마 엑스레이와 구강 상태를 확인한 뒤, 정밀검사에서 사진 촬영과 인상 채득 등 추가 기록을 진행하고
그 자료를 분석해 치료 계획을 안내하는 순서로 이어집니다.
Q3. 안내받은 교정 기간보다 더 길어질 수 있나요?
네, 치아 이동 속도나 이동이 필요한 양에 따라 기간이 달라질 수 있습니다.
안내받은 기간은 평균적인 기준이므로, 개인별 상태에 따라 짧아지거나 길어질 수 있다는 점을 미리 알아두시면 좋습니다.
Q4. 발치 없이 교정이 가능한 경우는 어떤 경우인가요?
입술 돌출 정도가 적고, 치아 배열에 필요한 공간 부족량이 크지 않은 경우에 비발치로 진행하는 경우가 많습니다.
구체적인 판단은 파노라마 엑스레이와 정밀검사 결과를 바탕으로 상담 시 안내받을 수 있습니다.
Q5. 교정 중 통증이 심할 때 진통제를 먹어도 되나요?
와이어 교체 후 통증이 심한 경우 진통제 복용을 권하기도 합니다.
통증은 보통 2~3일 후 가장 강하게 느껴지고, 1주일 정도 지나면 완화되는 경우가 많습니다.
복용 여부나 종류는 담당 의료진과 확인하는 것이 좋습니다.
Q6. 치간칫솔은 교정 중에 꼭 써야 하나요?
필수는 아니지만, 일반 칫솔로 닦기 어려운 장치 주변 좁은 틈에는 치간칫솔이 도움이 됩니다.
교정 기간 중에는 음식물이 장치 주변에 남기 쉬워 위생 관리가 더 중요해지므로, 전용 칫솔과 함께 활용하는 것을 권합니다.
Q7. 구순구개열이 아닌데도 교정 보험이 적용되는 경우가 있나요?
네, 쇄골두개골이골증·두개안면골이골증·크루존병·첨두유합지증 등 희귀질환으로 산정특례 대상에 등록된 경우에도 보험이 적용될 수 있습니다.
국민건강보험공단에 치과교정 및 악정형 치료 대상자로 등록된 상태여야 합니다.
오늘 내용 7가지 핵심 요약
교정 장치는 치료 효과보다 심미성·체어타임 등 편의 요소 중심으로 선택할 수 있습니다.
초진에서는 파노라마 엑스레이로 구강 상태를 파악하고 대략적인 치료 방향을 안내받습니다.
정밀검사에서 구내외 사진·cephalo 엑스레이·인상 채득을 진행하고 치료 계획이 확정됩니다.
전체교정 기간은 비발치 약 1년 반, 발치 약 2년이 평균이며 개인 차이가 있습니다.
부분교정은 평균 6개월이 안내되지만 개인 상태에 따라 달라질 수 있습니다.
발치 여부는 입술 돌출도와 치아 배열 공간 부족 정도를 기준으로 판단합니다.
일반 부정교합 교정은 건강보험 적용이 되지 않으나, 구순구개열 등 특정 조건에 해당하고 공단에 등록된 경우 적용됩니다.
교정 상담 예약 및 문의
치아교정 관련 궁금한 점이 있으시다면 검단가온치과로 문의해 주세요.
초진 상담을 통해 교정적 문제와 치료 방향을 안내해 드립니다.
전화 예약: 0507-1433-2881
진료 위치: 인천 서구 완정로178번길 1 검단빌딩 2층
최종 업데이트: 2026년 3월
